Risonanza magnetica

RM SmartSpeed

Aumento della velocità e della qualità delle immagini grazie all'intelligenza artificiale


Philips SmartSpeed è una tecnica di accelerazione della RM all'avanguardia che espande la comprovata tecnologia Compressed SENSE, ampliando il suo campo di applicazione a nuovi protocolli di imaging e migliorando la ricostruzione delle immagini con algoritmi di intelligenza artificiale applicati nelle prime fasi del processo di ricostruzione. SmartSpeed aumenta la velocità di imaging fino a un fattore pari a 31, fornisce una risoluzione fino al 65% superiore1 per offrire una qualità delle immagini eccezionale, ed è compatibile con il 97% dei protocolli clinici2 per soddisfare le esigenze di un'ampia gamma di pazienti in varie condizioni.

Sistema RM con scansioni SmartSpeed

Philips SmartSpeed

Imaging rapido di alta qualità basato sull'AI


Scopri come SmartSpeed aumenta la qualità delle immagini e la velocità per migliorare l'esperienza del paziente e del personale e aumentare l'affidabilità dell'imaging diagnostico.

Risultati dimostrati

Fino a 3 volte più veloce


nella scansione, per ridurre la durata dell'esame e aumentare la produttività.1

Risoluzione fino al 65% più alta


per garantire una qualità delle immagini eccezionale e aumentare l'affidabilità clinica.1

97% di applicabilità


in tutte le sequenze; può essere utilizzato per soddisfare le esigenze di imaging della maggior parte dei pazienti.2

Funzionalità

Imaging della colonna vertebrale con SmartSpeed

Scansioni fino a tre volte più veloci


Grazie a una scansione fino a tre volte più veloce1 e alla riduzione della durata totale dell'esame, SmartSpeed può aumentare la produttività del reparto RM e ridurre il costo per esame. È possibile utilizzare il tempo così guadagnato per eseguire la scansione di un maggior numero di pazienti e ridurre il costo per scansione, per aggiungere esami di pazienti non pianificati al programma e per ridurre gli straordinari del personale.

Imaging muscoloscheletrico con SmartSpeed

Risoluzione fino al 65% più elevata


Grazie alla risoluzione più elevata1, SmartSpeed offre una qualità delle immagini eccezionale, per offrire informazioni affidabili da fornire al medico richiedente. Poiché SmartSpeed applica la ricostruzione con intelligenza artificiale basata su deep learning all'origine, cioè il più possibile all'inizio del processo di acquisizione delle immagini, consente il controllo della coerenza dei dati dello spazio k per garantire l'affidabilità dell'intelligenza artificiale e riduce al minimo la perdita di dati. La minore perdita di dati si traduce in un maggior numero di informazioni nell'immagine ricostruita.

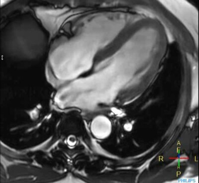
Imaging cardiaco con SmartSpeed

Applicabile al 97% degli esami


SmartSpeed è compatibile con il 97%2 dei protocolli clinici e può quindi essere utilizzato per soddisfare le esigenze di imaging della maggior parte dei pazienti. È stato addestrato su un volume esteso di dati in modo da poter essere utilizzato non solo con le sequenze 2D, ma anche con le sequenze 3D, per tutte le anatomie e con un'ampia gamma di tecniche con contrasto avanzato quali la tecnica DIXON per l'imaging con soppressione del grasso, l'angiografia, l'imaging SWI e l'imaging quantitativo (come la mappatura T1 o T2). SmartSpeed è compatibile anche con l'imaging non cartesiano per i pazienti poco collaborativi o con anatomie tecnicamente difficili e sensibili al movimento.

Scansione dell'addome con Compressed SENSE

Perché Philips SmartSpeed è così veloce ed efficace

Philips SmartSpeed si basa su due tecnologie di base:
 

  1. Compressed SENSE, il nostro motore di accelerazione all'avanguardia che utilizza un esclusivo approccio di campionamento dello spazio k completamente bilanciato per massimizzare la velocità mantenendo i dettagli.
  2. Adaptive-CS-Net, una ricostruzione AI pluripremiata3 addestrata con input di dati ottenuti con Compressed SENSE e applicata alla sorgente del segnale RM per garantire la massima fedeltà dei dati e delle immagini.

Insieme, queste tecnologie di radiologia con AI velocizzano il tempo di scansione senza alcuna perdita in termini di qualità delle immagini.

Sistema RM con scansione di diverse anatomie

Pacchetti SmartSpeed


Philips SmartSpeed è disponibile in vari pacchetti clinici, per scegliere la combinazione più adatta a soddisfare le esigenze specifiche di diverse popolazioni di pazienti. Il pacchetto Essential offre la possibilità di provare la pluripremiata tecnologia basata sull'AI per l’encefalo e la colonna vertebrale, mentre con il pacchetto Plus e i pacchetti avanzati potrete godere anche dei vantaggi legati all'aumento della produttività, al miglioramento dell'affidabilità diagnostica e a una maggiore accessibilità dei pazienti.

Galleria immagini

Prodotti correlati

  •  

    SmartSpeed - Spine  

    Philips SmartSpeed offre qualità delle immagini e velocità di acquisizione senza compromessi. Utilizza il motore di accelerazione Compressed SENSE per ridurre il tempo di scansione e un algoritmo di intelligenza artificiale pluripremiato per ottimizzare le informazioni e garantire una qualità delle immagini eccellente per l'imaging della colonna vertebrale. Philips SmartSpeed può essere utilizzato in 2D e 3D e per pesature di tutti i distretti anatomici. Supporta il 97% degli attuali protocolli clinici di RM* per soddisfare le esigenze di imaging della maggior parte dei pazienti.

  •  

    SmartSpeed MSK  

    Philips SmartSpeed offre qualità delle immagini e velocità di acquisizione senza compromessi. Utilizza il motore di accelerazione Compressed SENSE per ridurre il tempo di scansione e un algoritmo di intelligenza artificiale pluripremiato applicato alla sorgente della catena di ricostruzione RM per ottimizzare le informazioni e garantire una qualità immagine eccellente per l'imaging muscoloscheletrico. Philips SmartSpeed può essere utilizzato in 2D e in 3D e per le pesature di tutti i distretti anatomici. Supporta il 97% degli attuali protocolli clinici di RM* per soddisfare le esigenze di imaging della maggior parte dei pazienti.

  •  

    SmartSpeed Body - Abdomen  

    Philips SmartSpeed offre qualità delle immagini e velocità di acquisizione senza compromessi. Utilizza il motore di accelerazione Compressed SENSE per ridurre il tempo di scansione e un algoritmo di intelligenza artificiale pluripremiato applicato direttamente alla sorgente della catena di ricostruzione RM per ottimizzare le informazioni e garantire una qualità immagine eccellente per l'imaging del corpo. Philips SmartSpeed può essere utilizzato in sequenze 2D e 3D e per le pesature di tutti i distretti anatomici. Supporta il 97% delle attuali protocolli clinici di RM* per soddisfare le esigenze di imaging della maggior parte dei pazienti.

  •  

    SmartSpeed Cardiac  

    Philips SmartSpeed offre qualità delle immagini e velocità di acquisizione senza compromessi. Utilizza il motore di accelerazione Compressed SENSE per ridurre il tempo di scansione e un algoritmo di intelligenza artificiale pluripremiato applicato direttamente all'inizio della catena di ricostruzione RM per ottimizzare le informazioni e garantire una qualità immagine eccellente per l'imaging del corpo. Philips SmartSpeed può essere utilizzato in sequenze 2D e 3D e per le pesature di tutti distretti anatomici. Supporta il 97% degli attuali protocolli clinici di RM* per soddisfare le esigenze di imaging della maggior parte dei pazienti.

  •  

    SmartSpeed MotionFree - Head Neck  

    Philips SmartSpeed offre un imaging rapido e di alta qualità per un'ampia gamma di pazienti, inclusi quelli che provano dolore e che faticano a rimanere in posizione. Philips SmartSpeed MotionFree utilizza consolidate tecniche di imaging 2D non cartesiano, senza artefatti da movimento per acquisire immagini del corpo in tempi rapidi e senza artefatti da movimento. Riduce gli artefatti causati da movimenti generici, legati alla respirazione e alla pulsatilità in più del 90% dei casi rispetto all'imaging cartesiano.

  •  

    SmartSpeed – Brain  

    Philips SmartSpeed offre qualità delle immagini e velocità di acquisizione senza compromessi. Utilizza il motore di accelerazione Compressed SENSE per ridurre il tempo di scansione e un algoritmo di intelligenza artificiale pluripremiato per ottimizzare le informazioni e garantire una qualità delle immagini eccellente per l'imaging cerebrale. Philips SmartSpeed può essere utilizzato in 2D e 3D e per pesature di tutti i distretti anatomici. Supporta il 97% degli attuali protocolli clinici di RM* per soddisfare le esigenze di imaging della maggior parte dei pazienti.

Premio tecnologia di intelligenza artificiale raccomandata

Tecnologia di intelligenza artificiale pluripremiata


La tecnologia di intelligenza artificiale Compressed SENSE utilizzata in SmartSpeed, sviluppata da Philips in collaborazione con i suoi partner accademici, ha vinto la fastMRI Challenge del 2019, organizzata da Facebook AI Research e da New York Langone Health.

Domande ricorrenti

Miglioramenti clinici e produttività di Philips SmartSpeed

Per comprendere l'impatto che Philips SmartSpeed può avere sulla pratica clinica, mostriamo il valore comprovato di Compressed SENSE, disponibile dai primi mesi del 2018 e implementato a livello globale. Compressed SENSE consente di migliorare la produttività riducendo i tempi di scansione delle singole acquisizioni fino al 50%4 e degli esami completi del 20-30%1. Il motore di accelerazione di Philips SmartSpeed potenzia i punti di forza dei suoi predecessori, ampliando al contempo la sua versatilità. Amplia la gamma di applicazione per consentire l'imaging in situazioni difficili correlate al movimento, agli impianti e a un basso rapporto segnale-rumore in diffusione. Inoltre, l'integrazione del deep learning nel framework di Philips SmartSpeed consente di migliorare ulteriormente la velocità.

Le caratteristiche uniche della tecnologia di intelligenza artificiale di Philips SmartSpeed

La tecnologia di deep learning Adaptive-CS-Net applicata all'inizio della catena di ricostruzione dell'intelligenza artificiale di Philips SmartSpeed è completamente integrata nel motore di accelerazione dell'acquisizione e della ricostruzione, e Adaptive-CS-Net è addestrato per tutti i domini anatomici e i contrasti delle immagini con un'ampia gamma di fattori di accelerazione e risoluzioni. Ciò rende l'intelligenza artificiale di Philips SmartSpeed versatile quanto Compressed SENSE, che non ha rivali nella gamma di applicazioni. Può essere applicata in qualsiasi area anatomica per tutti i contrasti per sequenze 2D e 3D, compreso l'output di immagini complesse. Quest'ultimo offre il vantaggio di poter applicare qualsiasi procedura di elaborazione delle immagini. Pertanto, l'intelligenza artificiale di Philips SmartSpeed è compatibile, ad esempio, con mDixon, SWIp e PCA. La fedeltà delle immagini viene mantenuta dalla coerenza intrinseca dei dati dell'implementazione di Adaptive-CS-Net.

Benefici clinici di Philips SmartSpeed AI?

Philips SmartSpeed AI offre un imaging più veloce, una minore sensibilità al movimento e una risoluzione superiore, grazie al campionamento delle informazioni ad alta frequenza nell'intero spazio k. L'applicabilità a più contrasti come alle scansioni 2D e 3D e all'imaging con soppressione del grasso con mDixon permettono non solo di velocizzare i tempi delle singole scansioni, ma anche di ridurre la durata dell'intero esame. Ciò è ovviamente vantaggioso per il comfort del paziente e la compliance. Grazie all'innovativo design di Adaptive-CS-Net, Philips SmartSpeed AI è tre volte più veloce1 rispetto all'imaging parallelo convenzionale e può aumentare la risoluzione fino al 65%,1 per offrire una qualità delle immagini eccezionale e affidabilità diagnostica. Lo schema di campionamento non uniforme a densità variabile consente di accelerare le scansioni con copertura completa dello spazio k, in modo da acquisire le alte frequenze (e quindi i dettagli anatomici). Ciò si traduce in immagini ad altissima risoluzione nelle quali è possibile distinguere le strutture di piccole dimensioni.

Grazie per il tuo interesse.

Facci sapere come ti possiamo aiutare.

1
Dettagli del contatto
2
Riferimenti

Note a piè di pagina

[1] Rispetto all'imaging di Philips SENSE.

[2] In media, misurato su un campione di siti in cui sono installati sistemi RM Philips.

[3] La tecnologia Adaptive-C-SENSE-Net ha vinto la FastMRI Challenge, organizzata da Facebook AI Research e NYU Langone Health (2019).

[4] Dati del 2021.

I risultati provenienti dai case study non sono predittivi dei risultati in altri casi. I risultati in altri casi potrebbero variare.

You are about to visit a Philips global content page

Continue

You are about to visit a Philips global content page

Continue

La visualizzazione ottimale del nostro sito richiede la versione più recente di Microsoft Edge, Google Chrome o Firefox.

Sei un operatore sanitario?
Campo obbligatorio

Note:

I contenuti presenti nella pagina che segue contengono informazioni rivolte esclusivamente agli OPERATORI SANITARI, in quanto si riferiscono a prodotti rientranti nella categoria dei dispositivi medici che richiedono l’impiego o l’intervento da parte di professionisti del settore medico-sanitario.