

La diagnostica odierna spesso non è in grado di rilevare le disfunzioni cardiache fino a quando non si manifestano sintomi. MyoStrain valuta la deformazione del miocardio in 48 segmenti cardiaci e fornisce ai medici uno strumento diagnostico utile per identificare con anticipo la disfunzione funzionale prima che il cuore nel suo complesso sia compromesso.

Responsabile RM cardiaca/Direttore MRI Core Lad per il Centro cardiologico tedesco di Berlino e l’Università Charite di Berlino, Germania
Professore di RM cardiaca,

Professore associato di Medicina interna, presso LSU Health New Orleans, USA
Professore associato di Radiologia clinica,
Rafforzare l’affidabilità clinica e l'efficienza dell'imaging cardiaco In questo webinar, il Prof. Sebastian Kelle e il Prof. Raman Danrad condividono l’esperienza da loro acquisita su un sistema RM da 1.5T e su TC spettrale per un migliore imaging cardiaco. Discutono inoltre dell'impatto dell’attuale epidemia di COVID-19 e le nuove linee guida cliniche per la gestione della malattia nella sua fase post acuta.

La diagnostica tradizionale non offre la visibilità necessaria per vedere gli effetti di un trattamento cardiaco o individuare disfunzioni prima che si verifichino i sintomi. Combinando la sequenza di acquisizione MRI Fast-SENC di Philips con lo strumento di analisi MyoStrain di Myocardial Solutions, i lievi cambiamenti precoci nella funzione cardiaca possono essere misurati direttamente.

Combinando la smart-sync2 sviluppata dalla NORTHH MEDICAL (un sistema di Doppler a ultrasuoni compatibile con la MRI) con un sistema di RM Philips, abbiamo reso possibile la RM fetale cardiaca per fornire informazioni diagnostiche aggiuntive che possono aiutare nella diagnosi delle patologie cardiache congenite fetali, nel caso in cui l’ecocardiografia non sia sufficiente. Per saperne di più sullo smart-sync e scoprire cosa ne pensano i nostri clienti, clicca qui.

Grazie al design del magnete BlueSeal, il trasferimento di energia dalla bobina gradienti al magnete è trascurabile. Ciò consente di mantenere una stabilità di B0 perfetta nel tempo, aspetto particolarmente vantaggioso per le acquisizioni sensibili a B0 come le sequenze bTFE cardiache.

IntelliSpace Portal offre Comprehensive Cardiac RM Suite che fornisce flussi di lavoro dedicati per analisi funzionale, vitalità del miocardio, LGE, valutazione della mappatura cardiaca e analisi funzionale dei ventricoli destro e sinistro in meno di 5 minuti per caso1.

L'aggiunta di Compressed SENSE agli esami cardiaci riduce il tempo che il paziente deve trascorrere nello scanner RM e consente di ridurre i tempi di apnea, mantenendo una qualità dell'immagine praticamente uguale4. Compressed SENSE è applicabile sia alle acquisizioni 2D che 3D.

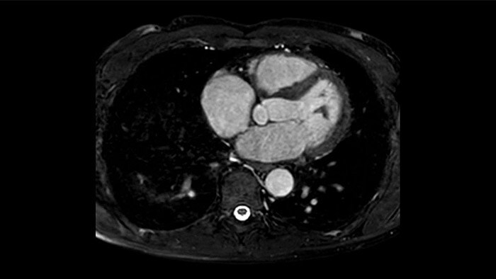
L'utilità diagnostica e prognostica della RM cardiaca è in continua crescita. È possibile valutare l'anatomia e la funzionalità cardiache utilizzando acquisizioni cine, ottenere informazioni sulla perfusione e vitalità del tessuto cardiaco, visualizzare potenziali edema con la sequenza Black Blood, accedere e persino quantificare la caratterizzazione dei tessuti con CardiacQuant.

VitalScreen offre non solo una guida per il posizionamento della bobina, ma anche la possibilità di visualizzare il segnale ECG già nella sala RM. Quando si esegue una scansione di perfusione sotto sforzo, non è necessario lasciare la sala per monitorare la frequenza cardiaca.

Durante gli esami cardiaci è necessario dare molte volte al paziente l’istruzione di trattenere il respiro. AutoVoice elimina questa attività ripetitiva del tecnico RM. In combinazione con VitalEye, le istruzioni di apnea vengono attivate all’interno del naturale ciclo di respirazione del paziente, garantendo una qualità dell'immagine superiore2 e una migliore esperienza del paziente.

I pacemaker non rappresentano una controindicazione rigida per la RM Cardiovascolare, in quanto esistono molti pacemaker compatibili con l'esame RM sotto opportune condizione di scansione. ScanWise Implant3 fornisce una guida passo-passo per l'impostazione dei valori compatibili con quelli richiesti dal produttore dell'impianto e li applica all'intero esame. Semplifica il processo di scansione per i pazienti con impianti soggetti a condizioni specifiche in RM.

In-bore Connect fornisce informazioni e indicazioni in tempo reale al paziente durante la scansione, migliorando la compliance. Una barra di avanzamento personalizzata indica la durata dell’esame e comunica informazioni sull'avanzamento della scansione, mentre le confortevoli cuffie consentono al paziente di ricevere le indicazioni di apnea. Un'esperienza video immersiva distrae e intrattiene il paziente mentre è sdraiato nel bore.

Poiché i pazienti cardiologici presentano solitamente uno stato di salute compromesso, è ancora più importante creare un ambiente confortevole per questi pazienti. Le soluzioni Ambient Experience utilizzano un approccio olistico che offre un'esperienza immersiva e multisensoriale. I pazienti possono personalizzare la sala di esame RM con illuminazione dinamica, proiezione e suoni. In questo modo si crea una distrazione positiva e si riduce lo stress.

Offrite ai vostri pazienti un'esperienza confortevole quando sono sdraiati grazie al materasso ComfortPlus. In media, il 90% dei pazienti con disagi gravi trova facile rimanere sdraiato immobile sul materasso ComfortPlus durante l'esame. Le immagini cliniche ottenute con il materasso ComfortPlus sono di qualità diagnostica altrettanto elevata di quelle acquisite con un materasso standard.

IntelliSpace Portal MR Caas5,6 4D Flow è una soluzione di post-elaborazione che consente di generare ricostruzioni volumetriche 3D per visualizzare e valutare il flusso di sangue in strutture cardiovascolari come le valvole cardiache, le camere e i vasi in base alle immagini MR 4D Flow.

IntelliSpace Portal MR CaaS5,6 Strain7 supporta nella diagnosi e nel monitoraggio dei pazienti fornendo parametri globali di strain, quali strain longitudinale globale (GLS), strain circonferenziale globale (GCS) e strain radiale globale (GRS), utilizzando immagini RM in asse corto e lungo e descrivendo inoltre la deformazione del miocardio, come il suo accorciamento, ispessimento e allungamento durante il ciclo cardiaco.

Casi clinici che coprono quasi tutte le possibili anatomie Possibilità di consultare più di 100 casi clinici pubblicati da specialisti di tutto il mondo, per scoprire in che modo la tecnologia digitale di risonanza magnetica Philips può soddisfare le vostre esigenze di imaging.
1. Tempo medio di analisi dei ventricoli destro e sinistro misurato in studio di convalida pari a 4,2 min +/- 0,4 2. Rispetto al segnale con utilizzo di sensore respiratorio Philips. 3. Da utilizzarsi esclusivamente con impianti sicuri per l’uso in RM (MR Safe) o soggetti a condizioni specifiche in RM (MR Conditional) attenendosi scrupolosamente alle Istruzioni d'uso. 4. Rispetto a scansioni senza Philips Compressed SENSE 5. Caas è un marchio di proprietà di Pie Medical Inc. 6. Queste funzionalità potrebbero non essere disponibili in tutti i Paesi. Per ulteriori dettagli contattare l'ufficio vendite Philips di zona. 7. Non disponibile negli Stati Uniti.
You are about to visit a Philips global content page
Continue