ott 07, 2025 | 2 minuti
Milano, 7 ottobre 2025 – Tecnologia d’avanguardia e design “patient-friendly”: questi i due tratti distintivi per cui la tomografia computerizzata Spectral CT di Philips, leader mondiale nell’health technology, ha ricevuto il Red Dot Award 2025, uno dei premi internazionali più autorevoli, che celebra l’eccellenza nel design e nell’innovazione tecnologica [1].

La strumentazione è già operativa in importanti centri clinici italiani, tra cui l’IRCCS Azienda Ospedaliero-Universitaria di Bologna Policlinico di Sant'Orsola, l’Azienda Ospedaliera Universitaria Gaetano Martino - Messina, l’Ospedale di Circolo e Fondazione Macchi di Varese e l’Azienda Ospedaliera Universitaria Sant’Andrea di Roma, Istituto di Candiolo - IRCCS. Questi risultati rendono la Spectral CT 7500 particolarmente efficace nei contesti ad alta intensità e specialità di cura, come i pronto soccorso, dove la rapidità e l’accuratezza diagnostica sono fondamentali.
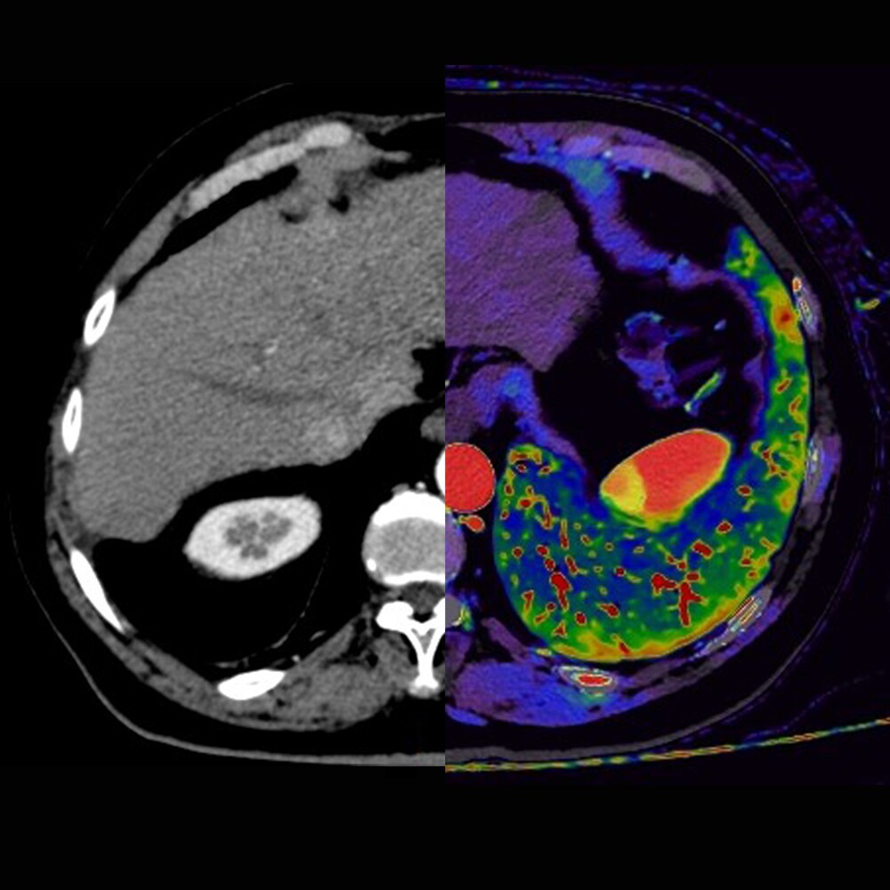
La Spectral CT rappresenta un’evoluzione della tomografia computerizzata (TC) che, grazie all’integrazione di una particolare tecnologia dotata di detettore spettrale Dual Layer, consente di ottenere immagini a colori ad alta definizione e ricche di informazioni, capaci di distinguere con precisione materiali e tessuti e di vedere le strutture anatomiche con un livello di dettaglio e di contenuto superiore.
Ciò porta numerosi vantaggi sia per il personale sanitario che per i pazienti tra cui una riduzione del 26% di necessità di ulteriori scansioni di approfondimento, un aumento del 23% dell’affidabilità diagnostica rispetto alla TC tradizionale, una riduzione del 34% del tempo complessivo per formulare una diagnosi e un tempo di soli due secondi per completare una scansione torace-addome-pelvi, con bassa dose di radiazioni [2].
La tecnologia spettrale sta rivoluzionando la diagnostica in tutti i campi, permettendo di analizzare in modo più accurato la composizione dei tessuti e di individuare precocemente condizioni a rischio, con benefici concreti per la prevenzione e la personalizzazione delle cure. Particolarmente rilevanti sono le funzionalità cardiache avanzate, che permettono la scansione del cuore senza distorsioni da movimento, grazie anche all’integrazione di nuovi algoritmi di intelligenza artificiale.
Andrea Laghi, direttore del Dipartimento di Diagnostica per Immagini presso IRCCS Istituto Clinico Humanitas ha dichiarato: “Sulla base della mia esperienza posso dire che attraverso la tecnologia spettrale la TC si arricchisce di nuove possibilità, trasformandosi in uno strumento multiparametrico che si avvicina sempre di più alle potenzialità della risonanza magnetica. Grazie alle mappe di iodio e alla scomposizione dei materiali, possiamo analizzare i tessuti in modo più preciso, riducendo al tempo stesso la dose e il mezzo di contrasto. È una tecnologia sempre disponibile, che non modifica il flusso di lavoro e lascia al radiologo la libertà di scegliere come e quando sfruttarne le applicazioni per ogni paziente”.
Ha sottolineato Giorgio Ascenti, direttore dell’Unità di radiologia oncologica dell’Azienda Ospedaliera Universitaria Gaetano Martino e professore di Diagnostica per immagini e radiologia all’Università di Messina: “Le possibilità di utilizzo della TC spettrale sono praticamente illimitate. La nostra struttura ha trovato particolarmente interessante questa tecnologia in tutta la diagnostica che richiede l’uso del mezzo di contrasto, cioè gli ambiti vascolare, cardio-vascolare e oncologico. Abbiamo con questa macchina la possibilità di ridurre in maniera significativa la dose radiante al paziente, evitando scansioni basali in specifici contesti clinici, e in altri casi, come ad esempio la nefropatia, di ridurre la quantità di mezzo di contrasto”.
A differenza delle altre tecnologie TC, la tomografia computerizzata spettrale utilizza fasci ad alta e bassa energia separati, a livello del detettore. La parte superficiale del detettore filtra la radiazione a bassa energia, mentre quella sottostante filtra la radiazione ad alta energia. Al contrario, le altre tecnologie oggi disponibili necessitano di due acquisizioni che vengono poi sovrapposte dal dispositivo. Inoltre, è dotato di un allestimento radioterapico che consente di monitorare l’evoluzione delle lesioni durante i trattamenti oncologici. Uno dei maggiori punti di forza di questa innovazione è la possibilità di effettuare acquisizioni spettrali utilizzando le stesse modalità operative già in uso: non è necessario programmare a priori l’esame in modalità “spettrale”, né modificare i protocolli usati abitualmente dal reparto di radiologia. Le immagini vengono acquisite come di consueto e, successivamente, è possibile accedere ai dati spettrali per ottenere informazioni aggiuntive, supportando il medico radiologo nell’interpretazione e nella diagnosi.
Il sistema è progettato per adattarsi a tutte le tipologie di pazienti, anche quelli con esigenze particolari, come i bambini, grazie alla ridotta dose di radiazioni, o pazienti bariatrici, grazie a un tunnel di 80 cm di diametro.
La Spectral CT 7500 è già impiegata con successo in numerosi ambiti:
Sources [1] Per maggiori informazioni sulla motivazione del premio https://www.red-dot.org/project/philips-spectral-ct-7500-81257 [2] Rispetto all'imaging SENSE
SEC Newgate Laura Arghittu – E: laura.arghittu@secnewgate.it Federico Ferrari – M: +39 347 645 6873 – E: federico.ferrari@secnewgate.it Pietro Marciano – M: +39 347 313 7065 – E: pietro.marciano@secnewgate.it