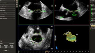
Quali sono le opzioni di trattamento per un paziente affetto da rigurgito mitralico? Se il paziente non è candidato all'intervento a cuore aperto, è possibile considerare la riparazione transcatetere della valvola mitrale (TMVR, Transcatheter Mitral Valve Repair). Oggi, soluzioni di imaging innovative e dispositivi moderni offrono opzioni alternative per alcuni pazienti.
Scoprite di più sulle nostre soluzioni per cardiologia.










